哪种牙隐裂可以自愈
牙隐裂不能自愈,牙隐裂的主要原因是牙齿组织发育过程中的缺陷,牙齿组织是没有修复能力的。 牙齿钙化是从牙尖开始的,几个钙化的牙尖逐渐融合在一起,在融合处形成牙面窝沟。...
【2017.05.31】
楔状缺损需要补牙吗
楔状缺损的处理需要看牙体缺损的程度来制定治疗方案。 1.牙体缺损少者,若无牙本质过敏症状,无需特别处理。 2.缺损较大者,需要补牙,避免口腔病菌侵入,对牙齿造成更大伤害。...
【2017.05.31】
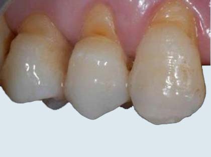
楔状缺损的治疗方法
楔状缺损的治疗方法主要需要改善刷牙方法,选用合适的牙膏和牙刷。而对于有牙体缺损的,如果没有牙齿过敏症状,就不用特别处理。而更严重的症状出现时,则应该进行修复术。...
【2017.05.27】
楔状缺损不处理会越来越大吗?
楔状缺损如果不改变刷牙方式,会因为不正确的刷牙方法而导致缺损越来越大,同时也容易因为菌斑聚集而产生龋齿。 如果楔状缺损本来比较深,就很容易导致穿髓而产生牙髓病。...
【2017.05.26】









